Check Us Out
request an exam
We Are Here!
Contact Us
Contact Us
780-456-1511
Home
About Us
The Signature Vision
Dr. Shawn Russett
Dr. Dolly Bharwani
Tour Our Office
Patient Reviews
Technology
Blog
Treatment Options
Orthodontics for Children
Myofunctional Therapy
Invisalign Teen®
Invisalign
Braces
Signature Smile Protection Plan
Retention
New Patients
Introduction to Orthodontics
Your First Visit
Payment Plans & Options
Frequently Asked Questions
Dr. Referral Form
Medical History
Payment Calculator
Contact Us
Emergency Care
Request an Exam
Virtual Exam
Sponsorship Request Form
Patient Rewards
Join Our Team
Request Exam
Home
About Us
The Signature Vision
Dr. Shawn Russett
Dr. Dolly Bharwani
Tour Our Office
Patient Reviews
Technology
Blog
Treatment Options
Orthodontics for Children
Myofunctional Therapy
Invisalign Teen®
Invisalign
Braces
Signature Smile Protection Plan
Retention
New Patients
Introduction to Orthodontics
Your First Visit
Payment Plans & Options
Frequently Asked Questions
Dr. Referral Form
Medical History
Payment Calculator
Contact Us
Emergency Care
Request an Exam
Virtual Exam
Sponsorship Request Form
Patient Rewards
Join Our Team
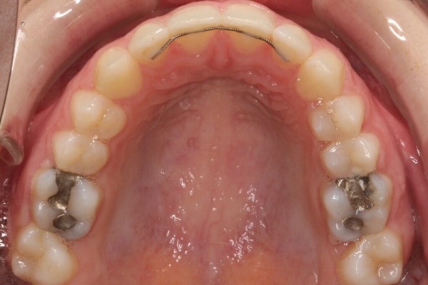
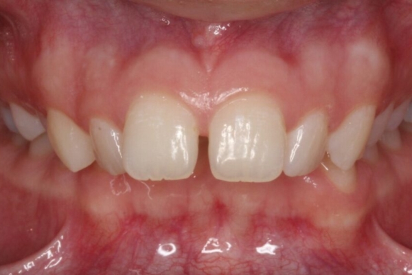
Deep over bite, large overjet, braces with jaw surgery.
Case #8: Before
Case #8: After
Loading...